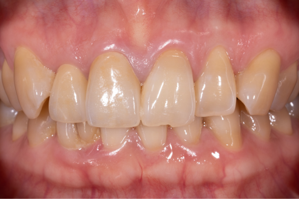
全瓷冠, 使用e.lab灰卡比色驗證分析
zirconia coping with full-layered ceramic, using e.lab gray card analysis techinique.
zirconia coping with full-layered ceramic, using e.lab gray card analysis techinique.

