Crown & Bridge
NEWS
關於
平和
About Us
1991年創立至今,平和牙體技術所始終秉持「工藝即藝術」的理念,專注於打造每一顆經過手上的牙齒。我們深信,牙科修復的極致,不只是精準,更是一種細膩美感的追求。 我們始終以創辦人許平和技師的精神為宗旨,以如同日本傳統職人般的態度,專注雕琢每一件作品。
從全瓷冠到美學貼片,從單顆修復到全口重建,我們將對美的執著,傾注於每一道製程之中。在技術上,我們積極導入數位牙科技術,結合CAD/CAM設計、口內掃描與3D列印,並選擇使用日本氧化鋯(Zirconia)與e.max全瓷等材質,提升整體品質的穩定性與精準。讓科技與美學得以互相輝映,成就每一個自然、真實的笑容。
精緻,不只是結果,更是過程。 我們堅持,每一顆牙齒都值得被用心對待;每一位患者,皆應擁有獨一無二的美感體驗。 在平和,修復,不僅是醫療行為, 更是一場屬於技藝與美學的對話。
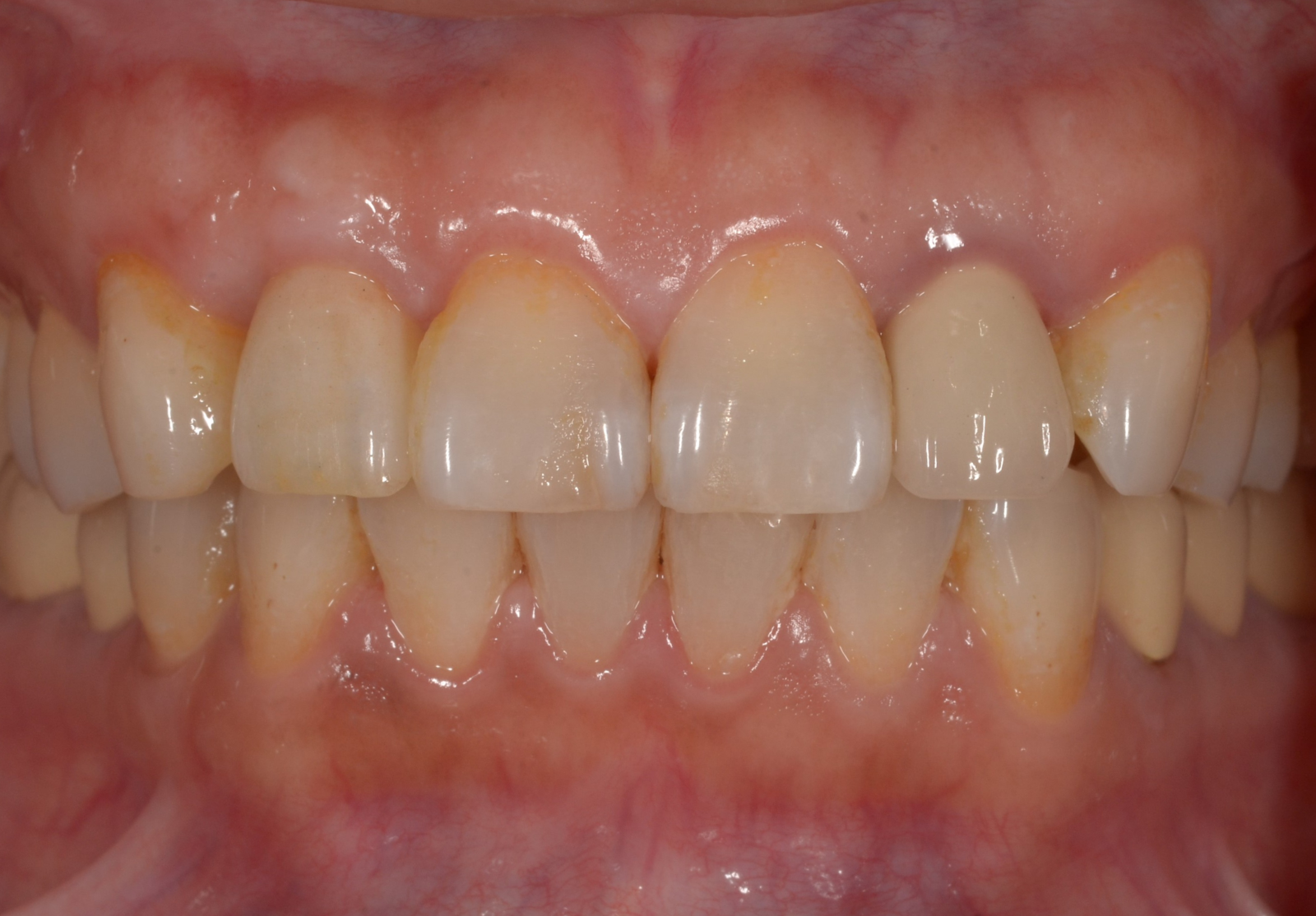
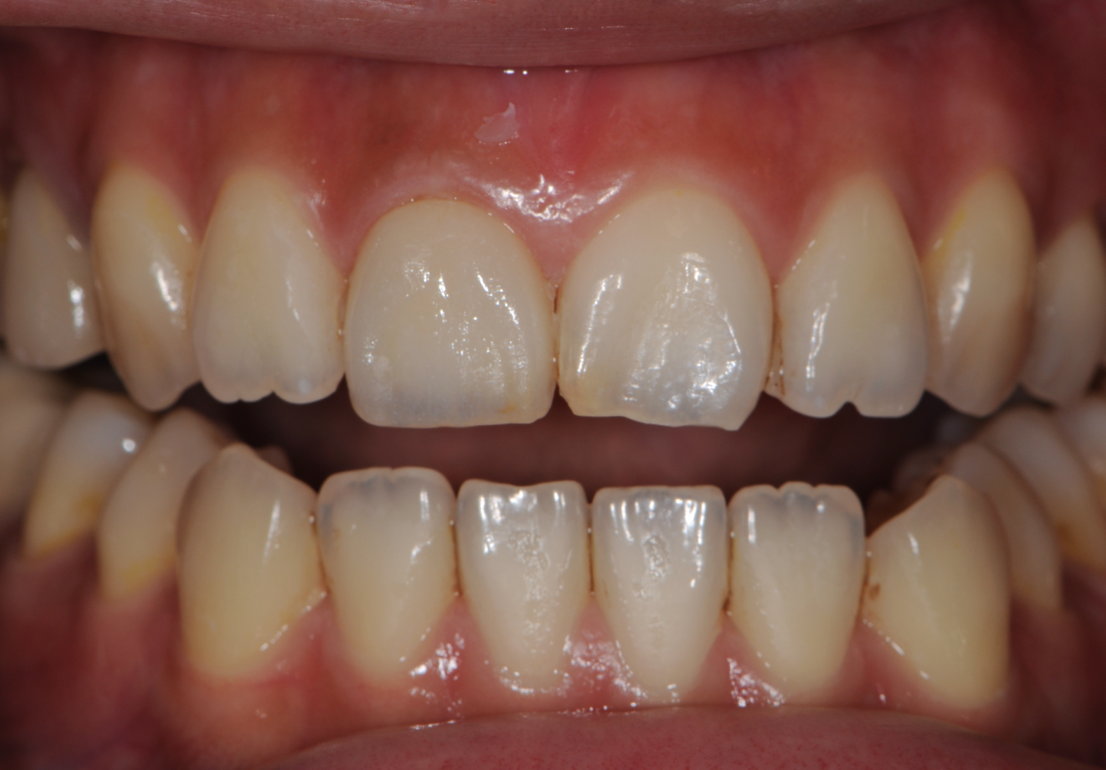
案例
分享
Case Gallery




